пн-пт с 8:00 до 21:00

сб-вс с 8:00 до 20:00

Реберный горб (гиббус) при деформациях позвоночника

Гиббус (реберный горб) образуется в результате вовлечение грудной клетки в сколиотическую дугу. Идиопатический сколиоз, сопровождается патологическим поворотом (торсией), скручиванием позвонков, которое ведет также и к развитию деформации грудной клетки в виде ее асимметрии и выпячивании ребер в сторону деформации. Горб наиболее хорошо виден при наклоне туловища вперед. Данный прием называется тест Адамса (см. изображения).

Торсионная деформация позвоночника и грудной клетки наиболее тяжело поддаются коррекции при хирургическом лечении сколиоза. При этом реберный горб часто и определяет косметический дефект пациента и больше всего его беспокоит. С этой проблемой обращаются в том числе и взрослые пациенты, которых не устраивает косметический эффект операций, которые могли проводится в подростковом возрасте.

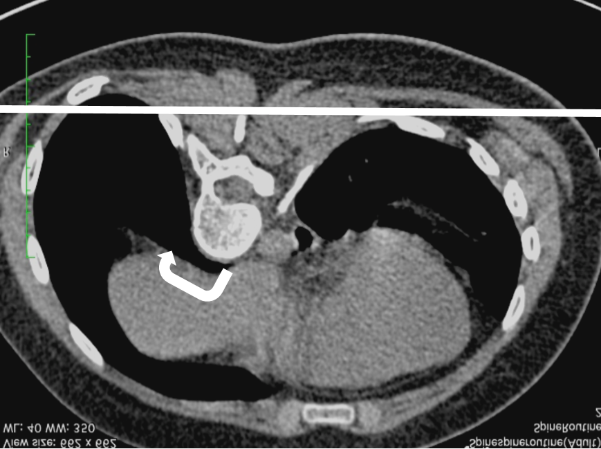
КТ позвоночника у пациента с идиопатическим правосторонним сколиозом.  Позвонки повернуты по часовой стрелке, скручивают грудную клетку и приподнимают ребра справа

Существуют хирургические методы коррекции данного косметического дефекта, которые заключается в пластике реберного горба. В некоторых случаях уменьшение размеров реберного горба сочетают с эллеваций, пластикой грудной клетки с противоположной стороны (приподнятие и фиксация ребер) для большей симметрии. Операции проводят спинальные хирурги, специалисты по деформациям позвоночника.

В послеоперационном периоде используется специальный давящий корсет для правильного формирования новой формы грудной клетки.

По всем вопросам, связанным с деформацией грудной клетки (реберный горб, гиббус, воронкообразная деформация грудной клетки, килевидная деформация, крыловидные лопатки, высокое стояние лопатки (б-нь Шпренгеля), «шейные ребра» при болезни Клиппель-Фейля) вы можете обращаться к ортопедам-вертебрологам КВМТ им. Н.И. Пирогова для квалифицированной помощи. Запись на прием по телефону в Санкт-Петербурге: 676-25-25 или через форму обратной связи на нашем сайте. 

Оставьте заявку на обратный звонок

Оставьте ваши контактные данные, и мы свяжемся с вами в ближайшее время