пн-пт с 8:00 до 21:00

сб-вс с 8:00 до 20:00

Гемиэпифизиодез или управляемый рост ребёнка

Гемиэпифизиодез (управляемый рост ребенка) - малотравматичный и «бескровный» метод лечения деформации длинных костей у детей.

Данный метод разработан профессором Stevens P. в 2004 г. и основан на непродолжительной фиксации части зоны роста с помощью пластин и винтов. В это время противоположная сторона продолжает функционировать, тем самым устраняя деформацию.

Плюсы гемиэпифизиодеза:

  • крайне редко появляются болевые ощущения; 
  • малотравматичен; 
  • с первых дней можно двигать конечностями и применять их в повседневной жизни.

Минусы гемиэпифизиодеза:

  • если деформированная кость укорочена, то удлинить ее при коррекции деформации будет невозможно;  
  • применение метода при многоплоскостных деформациях ограничено.

Показания к гемиэпифизиодезу:

  • разная длина конечностей;
  • одноплоскостные деформации нижних конечностей, которые появляются при нормальной или асимметричной работе части роста. 

Считается, что гемиэпифизиодез малоэффективен в случаях избыточного веса ребенка или наличия очень тяжелых деформаций. Клиническая картина это подтверждает: действительно у детей с тяжелыми степенями патологии или избыточной массой тела скорость коррекции при гемиэпифизиодезе ниже и требуется чуть больше времени для того, чтобы все деформации исправить. 

В случае обнаружения у ребенка деформаций нижних конечностей, рекомендуем сразу обратиться к детскому травматологу-ортопеду нашей клиники. Не стоит надеяться на спонтанную самокоррекцию, ведь по мере взросления ребенка эта способность у него снижается. 

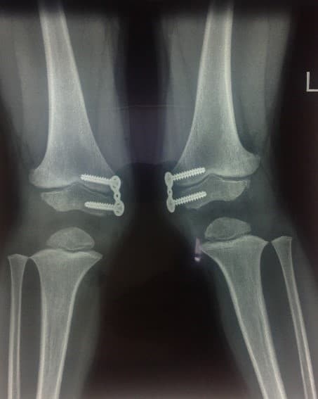
Последствие острого гематогенного остеомиелита (ПОГО), до операции


 Через 2 года После второй операции 

Пример применения гемиэпифизиодеза №2:

Идиопатичпеская вальгусная деформация бедер                  

  Через 8 месяцев­­­

Записывайтесь на консультацию к детскому травматологу Клиники любым удобным способом:

  • через мобильное приложение «Клиника СПбГУ» для Android и iOS
  • на сайте online.gosmed.ru
  • по телефону контакт-центра 8 (812) 676-25-25

Оставьте заявку на обратный звонок

Оставьте ваши контактные данные, и мы свяжемся с вами в ближайшее время

Наши врачи

Все врачи
Баушев Максим Александрович

Баушев Максим Александрович

Врач травматолог-ортопед (детский, взрослый) травматологического отделения № 3

Виленский Виктор Александрович

Виленский Виктор Александрович

Врач травматолог-ортопед (детский, взрослый) травматологического отделения № 3, к.м.н.

Фомылина Ольга Александровна

Фомылина Ольга Александровна

Врач травматолог-ортопед травматологического отделения № 3